Bacterial, Fungal and Viral Diseases in Koi (Ulcers, Carp Pox and Fungus)
INTRODUCTION:
The disease causing agents of fish diseases is caused by the following:
- Poor water quality ( e.g ammonia, nitrite, nitrate levels high).
- Excessive presence of suspended and sedentary waste products in the pond.
- Overfeeding – rotting food pollutes the water.
- Underfeeding – fish have no nutritional reinforced resistance against infections.
- Malnutrition – low grade foodstuffs cause diet deficiencies, which cause a gradual decline in the immunity of the fish.
- Mechanical damage of skin, nose, mouth and tail. These are “trauma”-areas that are easily infected. The koi are injured due to poor handling or newly introduced fish which could still be nervous and jittery, hence colliding against objects by uncontrolled jumping and swimming. The situation is exasserbated when the water is cold and the immunity of the fish is at its lowest.
- Over-stocking in system. Living space reduced with population density related factors(e..g feeding competition and easier parasite transfer) serving as a “stress” inducer.
- Parasitism: All the micro and macroscopical parasites, as listed above, inflict enough damage so that bacteria, virusses and fungi can be “encouraged”.
- Temperature fluctuations: Shallow ponds(<0,6 metres) are subjected to a “quick” warm up(day) and cool down(night) during the autumn to spring period. This enforces a continuous shift in the metabolism of the fish, causing stress since these adjustments are physiological. A subsequent waste in energy, as well as a dangerous fluctuation in the immunity of the fish, will create a “highway” for pathogenic invaders.
Curently the SVC(“Spring Viremia of Carp”) and KHV(Koi Herpes Virus) strains are the most dangerous imported viral diseases of koi. The fish may carry the inactive virus, which is only activated if the resistance of the fish are lowered as a result of induced stress(handling or transport) or decreased temperature. An ideal existing temperature range may also activate the virus. SVC and KHV can wipe out koi collections within 7-14 days.
Sometimes only a part of the collection is wiped out. The measure of destruction is unpredictable.
The following symptoms are characteristic of KHV infection:
- The fish swims with its head pointed downwards
- The fish is lethargic and weak
- Sunken Eyes
- The gill tissue is necrotic : an important sign of possible KHV or bacterial gill disease
- The skin feels rough like sandpaper
- Slime sheddings detach from skin
- Surviving fish display skin colour changes
- Ulceres develop as secondary infection
KHV can only be diagnosed by taking a swab and being diagnosed in a Laboratory.
This is a reportable disease in South Africa to the State Vet.
e a “highway” for pathogenic invaders.
BACTERIA
Bacteria have a significant impact on koi health:
- Aeromonas(“hole in the side disease”)
- Flexibacter Columnaris (fin, tail and mouth rot/”fungus”)
- Pseudomonas (open furuncles, red belly)
- Mycobacteriosis (tuberculosis) and “dropsy” (combination of Aeromonas hydrophila and Mycobacteriosis).
Since dropsy (“pinecone disease”– scales uplifted on whole body) is contagious. When dropsy is detected it is normally too late to treat since the kidneys of the fish are already compromised and damaged.
Bacteria kills fish mostly in the following ways:
- They inhibit and toxify the function of organs such as the kidneys,liver and muscle.
- They destroy the skin and create open wounds to such an extent that the exposed tissue releases electrolites to the environment. The fish dies then of osmotic shock.
- Bacteria such as Aeromonas release toxins(endotoxins) that eventually lands up in the blood circulation. The fish dies eventually as these toxins reach and toxify target organs like muscle tissue. The latter dies because of a permanent spasm induced by the toxins.
Sepsis is the condition where the internal organs malfunction due to the poisonous waste products of the bacteria. Common symptoms are the following:
- Contracted fins
- “Pop eyes”
- Red belly
- Hemorrhaging(bleeding) of skin and internal organs.
- Red and eroded fins.
- Stiff body(irreversible situation) whilst the fish is still alive.All the muscles are in spasm and damaged.
FUNGUS
Branchiomyces(gill fungus) and Saprolegnia are the two most common fungal species that affect koi. Ichthyophonus can also infect koi but only internally. The only observable evidence for Ichthyophonus is the presence of white cysts on the organs like the liver, spleen, heart, kidney and brain. There is no cure for Ichthyophonus .
Fungi are ever present. They are usually involved in the processes required for the digestion of feed waste and faecal matter. Their spores germinate on material suitable as a food source. This material include exposed koi tissue as a result of mechanical or parasitic damage. If the white strands(hyphae) of the fungus are visible on the wound, then treatment is normally to late since the hyphae have then already penetrated the tissue and damaged the internal organs. The poisonous metabolic waste of the pathogen also destroy the tissue of the fish.
Fungi can fortunately be controlled, especially if mechanical damage or a disease is suspected.Selected and respective treatments are recommended.
VIRUSES
The word virus means slime , juice or poison and is for a long time the general name for any kind of pathogen. Today the name virus is restricted to pathogenic particles that are so small that they pass through filters that hold bacteria. Viruses live on borrowed life, for they are too small to maintain any metabolism of their own. Viruses are too small to see with an optical microscope.
Viruses are virtually not treatable with medicines or chemicals, because they operate inside the cells of fish and not outside, as is the case with bacteria. The “pox”virus stimulate the skin tissue of the fish to form whitish pustules. It is not life-threatening but can be bothersome or be of worrying concern to the owner. Viruses can also be the cause for secondary infections.
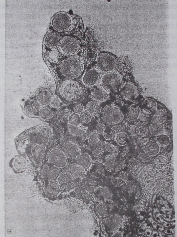
The Lymphocystis virus was the best known koi virus until recently and can cause the death of the fish. This disease often appears first on the fins, but then spreads over the whole body. Lymphocystis infections can easily be seen with the naked eye, since the virus causes the skin cells to grow abnormally large. The often whitish clumps of cells commonly resemble small clutches of eggs adhering to the skin, but sometimes only a few cells may appear over the whole area of the body. The skin feels rough when stroked. Lymphocystis is transmitted predominantly via the contents of burst cells. The only treatment is to remove the affected part with a scalpel, treat for secondary infections, and to isolate the victim under optimal conditions. It is more humane to painlessly put severely infected fish out of their misery and destroy them(overdose-anaesthetic).
